Patentierte Schweizer Technologie
Die Zukunft des Chair-Side-Bleachings
Entdecke die erste EU-konforme Alternative zu Wasserstoffperoxid – effektiv, sanft und wissenschaftlich fundiert.




Der neue Standard für Bleaching
Mit Inkrafttreten der EU-MDR am 27. März 2024 werden Bleaching-Produkte mit einem Wasserstoffperoxid-Gehalt von über 6 % nicht mehr verfügbar sein. Dies stellt eine Herausforderung für Zahnärzte dar, die auf hochkonzentrierte Wasserstoffperoxid-Lösungen für effektives Chair-Side-Bleaching angewiesen sind.
Die patentierte Technologie von ALPINE WHITE schliesst diese Lücke und bietet eine konforme, sichere und effektive Alternative für moderne Zahnarztpraxen.
Wieso Zahnärzte auf ALPINE WHITE setzen
AW Whitening Technology im Vergleich zu herkömmlichen Bleaching Produkten mit Wasserstoffperoxid (H2O2).
AW Whitening Technology
Bleaching mit H2O2
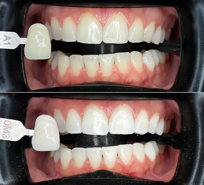
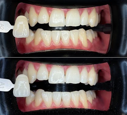
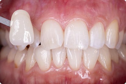
Bewährte Ergebnisse
Schmerzfreies Erlebnis ohne Empfindlichkeit der Zähne, auch bei geschädigtem Zahnschmelz
Bewahrt die natürliche Zahnstruktur und schützt Zahnschmelz und Dentin
Entspricht den EU-Kosmetikrichtlinien
Glückliche Kunden
Mit unserer Aufhellungsbehandlung erreichen Kunden natürlich weisse Zähne ohne Schmerzen.
Die klinischen Ergebnisse hängen von den individuellen Faktoren der Patienten ab.

Warum PAP die Zahnaufhellung neu definiert
Sanft und dennoch effektiv
Im Vergleich zu herkömmlichen In-Office-Bleaching-Produkten mit Wasserstoffperoxid zeigt die AW Whitening Technology eine effektive Aufhellung der Zahnschmelzproben.
ΔE = Farbmetrischer Unterschied zwischen der ursprünglichen und der gebleichten Probe

Oberflächengezielte Wirkung
Verbessertes Sicherheitsprofil: Rauheit
Verbessertes Sicherheitsprofil: Oberflächenhärte

Einfach, sicher und effektiv
Das einfache Behandlungsprotokoll kann vom Praxispersonal inkl. (DH, PA) durchgeführt werden.


Unsere patentierte Technologie
Unser Patent umfasst die Wirkstoffkomponenten sowie ein Verfahren zur Herstellung einer Zahnaufhellungszubereitung. Da das Gel direkt am Behandlungsort aktiviert wird, können höhere PAP-Konzentrationen verwendet werden.


Erfunden in der Schweiz, weltweit vertrauenswürdig
Die patentierte Technologie von ALPINE WHITE wurde in unseren Schweizer Studios entwickelt und durch klinische Studien sowie tausende erfolgreiche Behandlungen validiert.
Unsere Zusammenarbeit mit Coltene, einem weltweit anerkannten Dentalunternehmen, bringt diese Innovation in Zahnarztpraxen in ganz Europa.
Bringe das Beste Bleaching in deine Praxis
Mit ALPINE WHITE kannst du eine überlegene, schmerzfreie Bleaching-Erfahrung anbieten, die den neuesten Vorschriften entspricht und deine Praxis als führend in der Patientenversorgung positioniert.




















